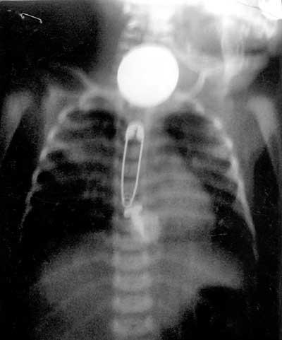
১২ দিন বয়সের মেয়ে শিশূ বমি, জ্বর আর স্বাসকস্ট নিয়ে ভত্তি হলো হাসপাতালে। এক্সরে করে পাওয়া গেলো উপরের খাদ্যনালীতে একটি কয়েন, একটি সেপটিপিন আর একটি স্ক্রু। আর পেটের মধ্যে আরও কিছু জিনিশ। পরে এক এক করে বের হলো
কয়েন
সেপটিপিন
স্ক্রু
তুলার বল
পলিথিনের টুকরা
৪টি কাচের টুকরা।
যদিও শিশুটির
যদিও শিশুটির অভিবাবক মেয়েটিকে মুখে কিছু খাওয়ায়নি বলে জানিয়েছে তারপরও পুলিশের তদন্ত্র চলছে। ঘটনাটি ঘটেছে রাজস্থানের একটি গ্রামে।
আলোচিত ব্লগ
ছি , অবৈধ দখলদার॥ আজকের প্রতিটি অন্যায়ের বিচার হবে একদিন।

ধিক ‼️বর্তমান অবৈধভাবে দখলদার বর্তমান নরাধমদের। মুক্তিযুদ্ধের মাধ্যমে স্বাধীন বাংলাদেশে । বীর মুক্তিযোদ্ধাদের ক্ষমা চাইতে হলো ! রাজাকার তাজুলের অবৈধ আদালতে। এর চাইতে অবমাননা আর কিছুই হোতে পারেনা।... ...বাকিটুকু পড়ুন
আম্লিগকে স্থায়ীভাবে নিষিদ্ধে আর কোন বাধা নেই

মঈন উদ্দিন ফখর উদ্দিনের ওয়ান-ইলেভেনে সরকারের ২০০৮ সালের ডিসেম্বরে ভারতের সহায়তায় পাতানো নির্বাচনে হাসিনা ক্ষমতায় বসে। এরপরই পরিকল্পিত উপায়ে মাত্র দুই মাসের মধ্যে দেশপ্রেমিক সেনা অফিসারদের পর্যায়ক্রমে বিডিআরে পদায়ন... ...বাকিটুকু পড়ুন
আওয়ামী লীগের পাশাপাশি জামায়াতে ইসলামীকেও নিষিদ্ধ করা যেতে পারে ।

বাংলাদেশে আসলে দুইটা পক্ষের লোকজনই মূলত রাজনীতিটা নিয়ন্ত্রণ করে। একটা হলো স্বাধীনতার পক্ষের শক্তি এবং অন্যটি হলো স্বাধীনতার বিপক্ষ শক্তি। এর মাঝে আধা পক্ষ-বিপক্ষ শক্তি হিসেবে একটা রাজনৈতিক দল... ...বাকিটুকু পড়ুন
J K and Our liberation war১৯৭১


জ্যাঁ ক্যুয়ে ছিলেন একজন ফরাসি মানবতাবাদী যিনি ১৯৭১ সালে বাংলাদেশের মুক্তিযুদ্ধের সময় পাকিস্তান ইন্টারন্যাশনাল এয়ারলাইন্সের একটি বিমান হাইজ্যাক করেছিলেন। তিনি ৩ ডিসেম্বর, ১৯৭১ তারিখে প্যারিসের অরলি... ...বাকিটুকু পড়ুন
এবার ইউনুসের ২১শে অগাষ্ঠ ২০০৪ এর গ্রেনেড হামলার তদন্ত করা উচিৎ
এবার ইউনুসের ২১শে অগাষ্ঠ ২০০৪ এর গ্রেনেড হামলার তদন্ত করা উচিৎ
২০০৪ সালের ২১ শে অগাষ্ঠে গ্রেনেড হামলার কারন হিসাবে বলা হয়েছিল , হাসিনা নাকি ভ্যানেটি ব্যাগে... ...বাকিটুকু পড়ুন

অনুগ্রহ করে অপেক্ষা করুন। ছবি আটো ইন্সার্ট হবে।