প্রথম পর্ব
দ্বিতীয় পর্ব
মানুষ কত তারাতারিই না অনাকাঙ্খীত ঘটনাগুলো ভুলে যেতে পারে। সময়ের সবচাইতে বড় বৈশিষ্ঠ তা পরিবর্তনশীল। আর এ পরিবর্তনের সাথে গা ভাসিয়ে দেয় সমাজ, পরিবেশ, প্রকৃতি ও আমরা মানুষের দল। আমাদের প্রত্যেকের অতীত যদি চিরস্থায়ী হতো তবে জীবন আমাদের কাছে ইশ্বরহীন ও কষ্টময় হয়ে যেত। আর কে জানে সে সময়ই হয়তোবা আমাদের প্রত্যেকের সভ্যতার সর্বশেষ পরিনাম।
পিয়াশাযে তখনও আমার পিছু ছাড়েনি এটা বুঝতে আমার বেশি সময় লাগলো না। এক রাতে স্বপ্নে দেখলাম পিয়াশা একটা সাদা গাধার পিঠে বসে বিস্তীর্ণ গম ক্ষেতের ভেতরে ঘুরে বেড়াচ্ছে। সোনালী রঙ্গের গম ক্ষেত আর পিয়াশার শরীরে আকাশী রঙের আলখাল্লা সাথে সাদা খচ্চর। ওর চেহারাটা সুন্দর ও প্রশান্তময়। যেন মুক্তি পেয়েছে কোন বিষাদ দুঃখবোধ থেকে। এখন তার উদ্দেশ্য যারা এখনও বিষাধগ্রস্থ তাদের নিজের সঙ্গী করে আর একটা গাধার পিঠে চড়িয়ে নিয়ে ঘুড়ে বেড়াবে গম ক্ষেতের ভেতর দিয়ে অনন্তকাল ধরে। কোন দুশ্চিন্তা নেই কোন বাঁধন নেই। আছে মুক্তি, জীবন বোধ থেকে মুক্তি, শয়তান থেকে মুক্তি। কি অদ্ভুতই না স্বপ্নটা।
আমার এক বন্ধু বলতো, শয়তান এখন আর মানুষের পদার্থগত ক্ষতি করতে পারে না, কারণ পদার্থের উপরে মানুষ নিজের নিয়ন্ত্রণ প্রতিষ্ঠা করেছে। তবে কি শয়তান আর মানুষের ক্ষতি করে না বা প্ররোচিত করেনা মন্দ কাজ করতে? অবশ্যই করে তবে সে আলাদা-আলাদা ভাবে। কিন্তু সে কাউকেই প্রতক্ষ্য ভাবে ক্ষতি করার ক্ষমতা রাখে না, কেননা তার বাস মানুষের অচেতন মনে। যে বস্তুটাকে নিয়ন্ত্রন করা একজন সাধারণ মানুষের জন্য সত্যি কঠিন একটা বিষয়। মানুষের প্রতিটি মন্দ কর্মের ক্রিড়ানক ঐ শয়তান। তার প্ররোচনায় আদম নেমে আসে পৃথিবীতে, মুসাকে খুনী হতে হতে হয়, যীশুকে চেষ্টা করা হয় পথভ্রষ্ঠের, ইব্রাহীমের পূত্রকে কষ্ট পেতে হয় পানির জন্য, মুহাম্মদকে (স) মক্কা বাসীর কাছে অপরাধী হতে হয়। সে শয়তানই আমাদের প্রত্যেকের ভেতরে গোপন স্থানে অতি সন্তর্পনে সফলাতার সাথে গত দুই মিলিয়ন বছর ধরে বাস করে আসছে।
আমার সন্তান আমার ভেতরে বড় হচ্ছে। আমার মা বলে, সন্তান গর্ভে বড় হলে অনুভবটা শুধু গর্ভের গন্ডিতেই সীমাবদ্ধ থাকে না এর প্রভাব আমাদের আশেপাশের পরিবেশ, পরিমন্ডল বাতাবররনে যেটাই বলে থাকি না কেন তার উপরে পরে। এরই পরিপ্রেক্ষিতে বোধহয় আমাকে আমার শ্বশুর বাড়িতে বিশেষ জত্ন-আত্মি করা শুরু হলো। প্রথম প্রথম আমি ভেবে অবাক হতাম ইশ্বরের কি অদ্ভুত খেয়াল ওদের সন্তান অন্য আর একজনের গর্ভ থেকে আসছে যে কিনা তাদের পরিবার কেউ ছিলো না। কিন্তু শুধু ওরা কেন, সমস্ত সমাজ জানলেও মানেনা যে সন্তানের সব চাইতে আপন সে, যার সাথে সন্তানের নাড়ীর সম্পর্ক। আর সে হচ্ছে সন্তানের মা। এ অনুভূতি একান্ত ভাবে সন্তান আর নাড়ীর মালিকই বুঝতে পারে। আমাদের সমাজ ব্যাবস্থা ঠিক করে দিয়েছে প্রথমে বাবার বীর্যের ফলে সন্তানের সব পূর্বাধিকার তাদের দিকেই যাবে। যত্তসব ফালতু সমাজ ব্যাবস্থা।
এত সবের মাঝেও স্বপ্নে পিয়াসাকে দেখাটা আমার কাছে সবচাইতে বড় রহস্য হয়ে দেখা দিয়েছে। গোটা দশেক খোয়াব নামা চষেও আমি ঐ স্বপ্নটার কোন সমাধান পেলাম না। সব শেষে পীর ধরনের এক ব্যাক্তি আমাকে জানালেন মেয়েটা নাকি আমাকে কিছু একটা বলতে চায়, যা আশুভ কিছু বহন করছে। সে নাকি তার দল ভারী করছে। লোকটি পুরোটা আমাকে খুলে বললেন না। পুরোটা শোনা নাকি আমার নিজের ভালো জন্যই। আমি তার কথা শুনে হেসেছি। লোকটি চরম ধৃষ্টতা দেখিয়ে সেও হেসে ফেলে। বলে, ‘এসব যদি নাই মানতেন তবে পিয়াসা হয়তো আপনাদের জীবনে আসতো না।’ লোকটি কি বলতে চেয়েছিলো তা আমি বুঝতে পারি নাই, তবে তার কথা শুনে ভয়ও পাইনি। কারণ এই প্রকৃতির মানুষেরা এই ভাবেই কথা বলে। কথার ভেতর একটা রহস্য রেখে অন্যকে ভয় পাইয়ে দিতে চায়। অন্ধকারে ঢিল ছোড়ে তারা, যদি দেখে ভুক্তভোগী অবাক হচ্ছে তবে যা বোঝার বুঝে নেয় সে। পিয়াসার স্বপ্ন রহস্য আমার কাছে রহস্যই রয়ে গেলো।
নতুন করে আবার জীবনের স্বপ্নগুলো সাজালাম আবার। কিছু বাদ দিলাম কিছু নতুন করে যোগ করলাম কিছু বিষয়। মানুষ বোধহয় স্বপ্নের মালা খুব সহজেই গাঁথতে পারে। এতে কোন পরিশ্রম হয় না তাই হয়তো। স্বপ্নের মালা গাঁথা অহেতুক কাজ নাকি আদৌ অর্থপূর্ণ কিনা তা নিয়ে আমি কখোনও ভাবি নাই। এসব অহেতুক ভাবনা ভেবে বৃথা সময় নষ্ট করার চাইতে সময়ের ভেতরেই আরো চমৎকার কিছু স্বপ্ন দেখা আমার পক্ষে খুব সম্ভব একটি কাজ। ব্যাপারটা এমন যেখানে রান্না করা খাবার পাওয়া যায় তবে সেখানে ফসল ফলিয়ে রান্নার কষ্ট কে স্বীকার করবে? এ দর্শন যে ভূল দর্শন এটা বুঝতে আমার বেশি সময় লাগেনি
আগেই বলেছি শ্বশুর বাড়িতে আমাকে কোন প্রকার শ্রম সাধ্য কাজ করতে দেওয়া হতো না। এমনি কি নিজের বাচ্চার জন্য কাঁথা সেঁলাই করাও ওদের কাছে কষ্ট সাধ্য কাজ বলে মনে হয়। আধুনিক শহর জীবনে বাচ্চার জন্য কাঁথা সেঁলাই একটা ঝামেলা মূলক কাজ হয়ে গেছে। কিন্তু এটা করতে আমার নিজের কাছেই খুব ভালো লাগে।
নিয়মিত সাস্থ্যকেন্দ্রে যাবারও দরকার আছে, সেখানে তারা আমকে প্রসব কালীন কাজ কর্ম সম্পর্কে সম্যক ধারণা দেওয়ার চেষ্টা করলো। কি কি খাবার খাওয়া উচিত এবং কি কি উচিত না এই সব। তারা আমার ওজন ও প্রেসার মাপলো। খাবার জন্য কিছু আয়রণ ও ভিটামিন ট্যাবলেট দিতে ভুললো না। এবং এক সপ্তাহ পর আবার দেখা করতে বললো।
পরের সপ্তাহে দেখা করতে গেলে পুরোন চেকাপগুলোর সাথে আমাকে আল্ট্রাস্নোগ্রাম করতে বললো তারা। ওদেরই রেডিওলজি বিশেষজ্ঞের কাছে রেফার্ড করা হলো আমাকে।
আজ ওদের আচরণ আমার খুব একটা স্বভাবিক লাগলো না। কারন ওদের ব্যাবহারে আজ আন্তরিকতার অভাব ছিলো। আধা ঘন্টার মধ্যে আল্ট্রাস্নোগ্রাম করালাম এবং সাথে সাথে রিপোর্টও রেডি করে দিলো ওরা। আমাকে বললো বিশেষজ্ঞ ডাক্তারের সাথে কথা কথা বলতে।
নিজের রিপোর্ট কার্ড ধরে থাকলে এমন কোন ধন আছে যে একবার না দেখে থাকতে পারে? জানি রিপোর্টির জন্য আমাকে কগজটির কোন অংশে চোখ বুলাতে হবে। দেখলামও তাই।
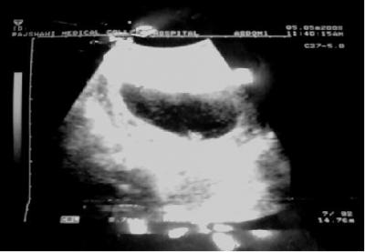
Uterus সম্পর্কে রিপোর্টে লেখা ছিলো
Gravid Uterus containing gestational sac.
Fetal cardiac activity is absent.
ভাষা গুলো একটু কঠিন হলেও রিপোর্টে ডাক্তাররা এরকম ভাষায় ব্যাবহার করে থাকেন। মনে হয় কিছু ছাড়া-ছাড়া শব্দ। এর মানে বের করার জন্য আমাকে ডিকশনারী খুলে বসতে হবে না। এর মানে হলো__
জরায়ূটি শুধু মাত্র একটি মাংশ পিন্ড ধরে আছে।
ভ্রূণে হৃদস্পন্দনজনিত সক্রিয়তা অনুপস্থিত।
লেখাগুলো আমার বোধগোম্য হতে একটু সময় লাগলো। শরীরের ভেতরে একপ্রকার কম্পন অনুভব করলাম আমি। ঘামতে শুরু করেছি। আমার মস্তিষ্ক যে রক্ত সরবারহ বন্ধ করে দিচ্ছে তা বুঝতে পারছি স্পষ্ট। শরীর ধীরে ধীরে অবশ হয়ে আসছে আমার। আমি দেখতে পেলাম আমার সামনের পৃথিবীটা দুলে উঠলো। যেন দোলনায় তুলে সব কিছুকে দোল দেওয়া হচ্ছে। শেষ মুহুর্তে আমার শুধু এইটুকু মনে ছিলো আমি পড়ে যাচ্ছি। কোন কিছু চিন্তা করতে পারছি না।
অনেক দূর থেকে কথাগুলো ভেসে আসছে, মনে হচ্ছে অপার্থিব জগতের কোন বাসিন্দা পার্থিব জগতের বাসিন্দাদের কথা শুনতে পাচ্ছে। কেউ একজন পানির ছিটা দিচ্ছে আমার মুখে। চোখ খুলে দেখলাম সাদা আলখাল্লা পড়া একজন দেবদূত। একটু পরেই বুঝলাম তিনি কোন দেবদূত নন তিনি একজন নার্স মাত্র। হাত তুলে পানি ছুড়তে নিষেধ করলাম তাকে। উঠে বসলাম আমি। সাথে সাথে কেউ একজন ঠেলে আবার শুইয়ে দিলো আমাকে। পিঠের নিচে নরম অনুভুতি থেকে বুঝছি আমাকে সাস্থ্যকেন্দ্রের কোন বেডে শুইয়ে দেওয়া হয়েছে।
আমি দেখলাম লোকজন আমাকে সান্তনা দিচ্ছে। কিন্তু তারা কেন আমাকে সান্তনা দিচ্ছে? তাদের কি অন্য কোন কাজ নেই? একজন মহিলার গর্ভের বাচ্চা নষ্ট হয়ে গেছে তা সে সহ্য করতে না পেরে জ্ঞান হারিয়েছে, আর লোকজনও এত অগ্রহীযে তাকে সান্তনা দেবার জন্য উঠে পড়ে লেগেছে। কিন্তু আমি এসব কি ভাবছি, কেন ভাবছি? আমার মনে পড়ে গেলো সরকারী হাসপাতালের বাড়ান্দায় শুয়ে থাকা মহিলাটি যখন ঘুম থেকে জেগে উঠেছিলো তখন তকেও নিশ্চয় সবাই এভাবেই সান্তনা দিয়েছিলো। (প্রথম ও দ্বিতীয় পর্ব দ্রষ্টব্য)
স্বপ্ন ভঙ্গের কারণে আমার দুচোখ চিড়ে পানি বেড়িয়ে এলো। স্বপ্ন পূরনের অনুভূতি যেমন প্রাচুর্য, স্বপ্ন ভঙ্গের অনুভূতি তেমন দারিদ্রতা। আমি এখন সেই নিঃশ্বের নিঃসঙ্গ। এক নিমিষেই যেন আমি সর্বহারা হয়ে গেছি। বিধাতা আমাকে ত্যাগ করেছেন পরিপূর্ণ রূপে। আমার প্রত্যাশা খুব বেশি ছিলোনা, সে অনুযায়ী আমার প্রাপ্তি হয়নি, আর তাই পরিণামের প্রশ্নই আসে না। আমার মনে পরে গেলো শেষ বার পিয়াসাকে নিয়ে দেখা স্বপ্নটার কথা। সে একটা সাদা গাধার পিঠে চড়ে বেরাচ্ছে। আর বিষাদগ্রস্থ বাচ্চাদের একটা দলকে নিজের সাথে নিয়ে সাদা গাধার পিঠে চড়িয়ে বিস্তীর্ণ গমের ক্ষেত ভ্রমনে বের হয়েছে। তার নতুন সঙ্গী হয়েছে আমার অনাগত সন্তান।
নার্স আমার কাঁধে হাত দিয়ে বোঝাতে চাইলো, ‘যে জিনিস আমার ভেতরে কোন কালেই ছিলোনা, অহেতুক তার জন্য কেঁদে কষ্ট পাওয়ার কিছু নেই। আপনার গর্ভে রক্ত জমে গিয়ে এমন অবস্থার সৃষ্টি হয়েছে। প্রথম প্রথম সেটা ভ্রুনই ছিলো কিন্তু পরবর্তিতে সেটাকে পরিপূর্ণ মানব শিশুতে রূপান্তরের সুযোগ আপনার গর্ভ সৃষ্টি করতে পারে নি। নিজের উপরে যদি কষ্ট পান তবে এ শুধু নিজের প্রতি নিজের প্রহসন হবে মাত্র।’
আমি কি আর এসব কথায় ভুলি? আমি কি হারিয়েছি তা শুধুমাত্র আমিই বলতে পারবো। মেরি স্বামী ছাড়া সন্তানের মা হয়েছিলো আর আমি আমার স্বামী থাকার পরও সন্তানের মা হওয়ার যোগ্যতা আমি হারিয়েছি। আমি জানি এটা ঈশ্বর প্রেরিত আমার প্রতি শাস্তি। আতি লঘু পাপে গুরুতর শাস্তি। জীবনের বিনিময়ে জীবন, পাপের বিনিময়ে পাপ। তবে শাস্তিটার গিনিপিগ হতে হলো এমন কাউকে যে কোন সময়ই পৃথিবীতে ছিলোনা অথচ তাকে নিয়ে আমার পরিবারের একেক জনের মনে একেক মহাকাব্য রচিত হয়েছিলো। রচিত হয়েছে স্বপ্নের সর্বোচ্চ আধার। যে স্বপ্ন আদি উৎস থেকে ভবিষ্যৎ প্রজন্মের প্রতিটি মানুষ দেখে। এ স্বপ্ন, সে স্বপ্ন যা কিছু অর্জনের তা বর্জনের, যা কিছু পাবার তা হারাবার।
সবাই আমাকে সমবেদনা জানাচ্ছে আমি জানি সমবেদনা ও সাহায্য এক জিনিস না। একটি নিস্ক্রিয়তার কথা বলে অপরটি ঠিক তার উল্টো অর্থাৎ কর্মের পরিচয় দেয়। এখন আমার সমবেদনার না সাহাজ্যের দরকার। আমি যদি এখন কোন গাইনী বিশেষজ্ঞের কাছে পরামর্শ নিই তাবে আমি জানি তিনি জঞ্জালটাকে গর্ভ থেকে ফেলে দেয়ার পরামর্শ দেবেন। সেতিল বিয়োর্নস্তা তাই যথার্থই বলেছেন ‘জীবনে কিছুই চাইতে নেই। তোকে শিখতে হবে তা হলো স্থিতি, প্রশান্তি ও ঔদার্যবোধ।’
[নারী মনকে বোঝার জন্য লাকী আল মামুনকে অনেক অনেক ধন্যবাদ। তার প্রথম সন্তান হারাবার বেদনা থেকে এই গল্পটি লেখা। গল্পে ব্যাবহৃত ছবিটি লাকী আল মামুনের নিজের আল্ট্রাস্নোগ্রাফীর ছবি। যেটিকে ডাক্তাররা শিশু বলে কখোনই স্বীকার করেন নাই।গল্পটি নেতিবাচক দৃষ্টিকোন থেকে লেখা হয়েছে; এর জন্য আমি তার কাছে আন্তরিক ভাবে ক্ষমা প্রার্থী। লেখার সময় কাল ২০০৮]
সর্বশেষ এডিট : ২৩ শে জুন, ২০১২ রাত ৮:২১

অনুগ্রহ করে অপেক্ষা করুন। ছবি আটো ইন্সার্ট হবে।




