ময়না তদন্তের কারণ-
১/স্বাভাবিক বা অস্বাভাবিক মৃত্যুর কারণ নির্ণয়
২/কিভাবে আঘাত প্রাপ্ত হলো-এর বর্ননা
৩/মৃত্য কিভাবে হলো-মানে আত্মহত্যা,খুন না দূর্ঘটনা জনিত
৪/মৃত্যুর সময়
৫/মৃতদেহের সনাক্তকরন(যদি অজানা হয়)
অটোপসি সন্ক্রান্ত কিছু নিয়ম-
১/মৃতদেহ মর্গে আসার সাথে সাথে একটি লেবেল বা ট্যাগ লাগানো হয়।
২/অটোপসি অবশ্যই মর্গে করতে হবে অন্য কোন জায়গায় নয়।(যদি মৃত দেহ গলিত অবস্হায় থাকে এবং মৃত দেহ সরানো হলে যদি আলামত নষ্ট হবার ভয় থাকে তবে এ আইন শিথিলযোগ্য)
৩/ময়না তদন্তের অফিসিয়াল অর্ডার থাকতে হবে(পুলিশ বা ম্যাজিস্ট্রেট হতে)।
৪/কোন অহেতুক দেরী ছাড়াই অফিসিয়াল অর্ডার পাওয়া মাত্রই ময়না তদন্ত করতে হবে।
৫/ দিনের আলোয় করতে হবে কারন রাতের কৃত্তিম আলোতে কোন সূত্র চোখ এড়িয়ে যেতে পারে।
৬/মৃতদেহ অবশ্যই পুলিশ দ্বারা প্রাথমিক ভাবে সনাক্তকরন করতে হবে।
৭/অহেতুক কোন ব্যাক্তির উপস্হিতি গ্রহনযোগ্য নয়।
ঢাকা মেডিকেলের মর্গের সামনে গেলে দেখবেন লেখা আছে-
Let conversation cease
Let laughter flee
These is the place where
Death delights to serve the living
আসলেই মর্গ যেন সেই জায়গা যেখানে মৃতদেহ যেন জীবিতদের পথ দেখিয়ে দেয়। আসুন কিছুটা জেনে নেই এ সম্পর্কে
অটোপসির যন্ত্রপাতি।
বাহ্যিক পর্যবেক্ষন-প্রাথমিক ভাবে দেখতে হবে মৃতের সাম্ভাব্য কারন মানে আপাত দৃষ্টিতে কি মনে হয়-দুর্ঘটনা,পরে যাওয়া ,পোড়া,পানিতে ডোবা ইত্যাদি।
মৃতদেহের পরনের কাপড়ের পর্যবেক্ষন করে বুঝতে হবে- কোন ছেড়া বা বোতামের ছেড়া,কোন বুলেট বা ছুড়ির দাগ,কোন রক্ত বা অন্য কোন তরলের উপস্হিতি যেমন তেল,পানি,ফেনা,বিষ ইত্যাদি।
নখের উপরিস্থ এনামেলের অংশ ১০ টি ভিন্ন প্যাকেটে গ্রহন
এর পর আস্তে আস্তে চুল থেকে শুরু করে মৃতদেহের প্রতিটি অন্গ যেমন-ত্বক,চোখ ,নাক,মুখ,কান অন্যান্য রন্ধ্র ,হাত ,পা ,বুক ,পেট ,পিঠ ও লোমের উপস্হিতি বা অনুপস্হিতি পর্যবেক্ষন।
আভ্যন্তরিন পর্যবেক্ষন-দেহের প্রতিটি অংগ বা তার অংশ বিশেষ পর্যবেক্ষন ও ভিসেরা রিপোর্টের জন্য সংরক্ষন। পাকস্হলী, লিভারের অংশবিশেষ,২ কিডনীর অংশ বিশেষ,ফুসফুস,হার্ট ,অন্ত্র মূত্রনালী র অংশ বিশেষ সংরক্ষন।
পাকস্থলী- কোন বিষক্রিয়ায় বা কোন দূর্ঘটনা বা পানিতে পরে মারা যাওয়া ব্যাক্তির নেয়া হয়।
ফুসফুস-গ্যাস জনিত কারনে ,পানিতে ডুবে বা পুড়ে গিয়ে মারা গিয়ে থাকলে।
হার্ট-হঠাৎ কর্ডিয়াক এরেস্ট বা দূর্ঘটনা বা কারেন্টে মারা গেলে।
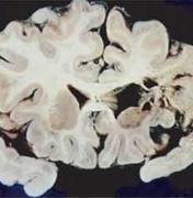
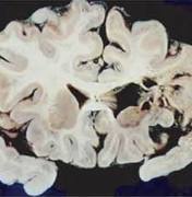
ব্রেন-কোন স্ট্রোক বা দুর্ঘটনা বা কোন অনির্নিত অকস্মিক রোগে মারা গেলে।
এভাবেই এগিয়ে যায় তদন্ত।সংগ্রহ করা হয় মৃতদেহ হতে বিভিন্ন আলামত এবং তার ভিত্তিতে হয় রিপোর্ট যা আমাদের সাহায্য করে।অটোপসির পর মরদেহ নিখুত সেলাই করে দেয়া হয়।
সর্বশেষ এডিট : ০৭ ই মে, ২০১২ রাত ১১:৪৯

অনুগ্রহ করে অপেক্ষা করুন। ছবি আটো ইন্সার্ট হবে।



